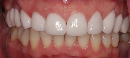
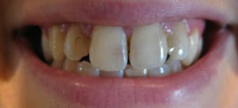
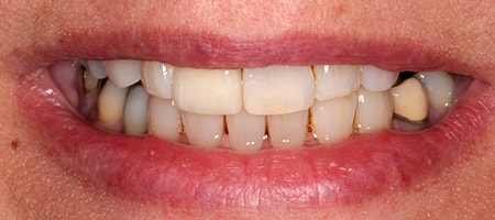
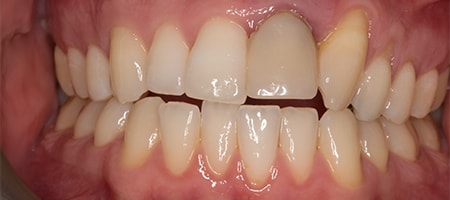
Before & After
Cosmetic Smile
Gallery
Glasgow
From Whitening through to Full Cosmetic Smile Makeovers
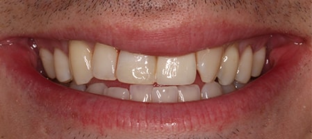
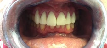
A picture paints a thousand words. Below are examples of smile makeover examples from simply whitening teeth, using Invisalign clear braces or full smile makeovers using veneers, crowns and implants.
Veneers Before and After Treatment




























Smile Makeover Before and After Treatment



































